裾野駅徒歩3分の矯正歯科専門医院です。キレイな歯並び・キチンとした噛み合わせのための矯正治療を行います。近隣の沼津市や長泉町からもどうぞ。
診療(お電話対応)時間
平日 10:00~12:30 14:30~18:00
※土・日曜 17:00まで
※週または日により診療時間の変更があります。お電話の際は『本日のご連絡』をご確認下さい。
ご予約・お問合せはこちらへ
055-993-9350

どんな装置を使うの?
マルチブラケット装置を用いた、マルチブラケット治療を行います。下の絵のようなブラケット装置(歯に付けるボタン)とワイヤーを用いて歯を目的の位置に動かします。



見た目はやっぱり目立つのかな?
『表側の装置でも見えにくくする』ことができます。


左側 は通常のワイヤーと透明のブラケットとの組み合わせです。当院で標準的に使用しているものになります。
右側 はホワイトワイヤーとホワイトブラケットの組み合わせです。

痛みはありますか?
調整をしたあと数日は歯が痛くなります。噛むとジーンとするような痛みです。しかしだんだんと痛みは和らいでいき、1週間ほどすると痛みがひく方がほとんどです。
こんな場合はお申し出ください
もうすぐテストがある、部活の大会がある、人前で話す機会があるなど、痛みがあるために本業に差し障りが出てしまうことがある場合は、来院時の調整を痛みが出ない内容に変更することも可能です。
またあらかじめご予定が分かっておられましたら、そのご予定の後日に治療のご予約を入れていただくのも良いと思います。
こちらも『今日の調整は後で痛みが出るだろう』と予想される際には患者さまにお聞きします。遠慮なさらずお申し付けください。

治療期間はどれくらいですか?
約2~3年程です。この期間に治まる方が多いですが、歯の動きやすさ、症例としての難易度の違いもありますから、左記期間より短くなる・長くなる場合もあります。

歯を動かし終わったらそれで終わり?
終わりですが終わりではありません。
マルチブラケット装置は歯から撤去されますが、キレイになった歯並びをしっかり保っていかなくてはなりません。






歯並びを保つための装置は患者さまによって取り外しの出来る装置になります。
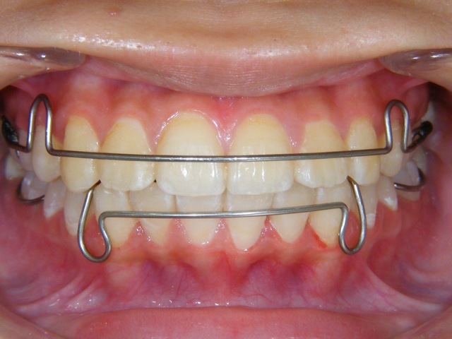
後戻りを防ぐため、写真のようなリテーナーと呼ばれる戻り止め装置を使用する必要があります。
マルチブラケット装置が撤去された直後の1年~2年
→とても後戻りしやすい期間であるため、この間のリテーナー使用は終日使用となります(飲食、歯磨き、運動時、お風呂などでは外します)。
その後
→残念ながら、何年リテーナーを使えばもう歯は動かない、という決まった期間はありません。というのも、『歯は、矯正治療をしたことがあるしたことがないに関わらず勝手に動くもの』だからです。生きている限りは体の中で変化しない部位はない以上、体の一部である歯も生涯動き得ますから、長期にわたって維持を試みる場合は装置の使用も”一生”ということになります。

治療を始めるタイミングは?
基本的には『いつでも』矯正治療を始めることは可能です。
ご本人が『歯並びをキレイにしたい!』と思ったその時が、治療を開始するのに適したタイミングです。